中国・上海で日本語教師をしているポンコツ男のメモ。
THE VERY BEST OF PONKOTSU BLOG
↑ポンコツブログ記事の自己ベスト版!
ここを見ればポンコツの上海生活がわかります!
ブログ記事はページ下部にあります。
このまま下にスクロールしてください。
★ポンコツ最新情報★
時々記事を書かせていただいている「ロケットニュース24」が本になりました!
ポンコツの記事も掲載されています!
ぜひご覧ください!
ロケットニュース ポンコツ担当記事
ブログトーナメント結果!
やめた理由トーナメント
日本語教師を辞めた理由を書いた記事で優勝
おいしいアイスブログトーナメント
東北大板の記事で優勝!
アンティークな雑貨達トーナメント
上海のガラクタ倉庫で発掘したグラスの記事で優勝!
アンティークお好きですか?ブログトーナメント
景徳鎮で買ったお皿の記事で優勝!
都市伝説 2ブログトーナメント
パスポートに押されてしまう例のスタンプの記事で優勝!
面白い商売トーナメント
上海・古北カルフール近辺で見るあの店の記事で優勝!
トホホトーナメント
さすがポンコツ!トホホな記事はおまかせ!
ブログのアクセス増えたよブログトーナメント
ブロガー必見!
ぎやぁぁぁぁぁぁぁぁ!!!!!
そういえば去年の夏、気温が50度近くになったせいもあり、普段以上にまともな思考回路を持っていなかったポンコツ先生は「セミを食べたい」と言い出し、実際にボリボリ食べました。
参考:
ゲテモノ←ここに登録 ※閲覧注意
あの時、奥様に「変なものを食べるのはよしなさい!」と怒られたのですが、こういう危険性もあるわけですね。。。
まぁ熱処理していれば大丈夫かなと思うんですが(←無人島で真っ先に死ぬタイプ)
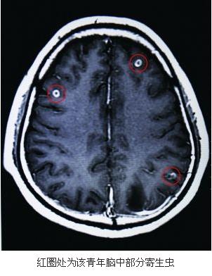
「ブタの生き血」が大好物の男性、脳内から寄生虫19匹発見―中国紙
引用
中国紙・貴陽晩報によると、めまいと視力低下に悩む青年の大脳には、なんと19匹の寄生虫がいた。彼の大好物のブタの生き血が原因だという。
大好物がブタの生き血。
変わったご趣味をお持ちですね、なんて考えていたら、
貴州省のある地方では、ブタの生き血を「甜湯血」と呼び、現地の人々はこれを好んで食すという。この青年も、「ブタの生き血が好物だ」と話している。
その地方特有の文化なんですね。
秘密のケンミンSHOWで取り上げるような。
たまたまなんですが、この記事が出たときに読んでいた本が、

↑怪しいアジアの暗黒食生活って本でして。
虫とかならまだしも、鹿のタタキとかあんなものやこんなものが書かれているのを「すげーなー」って楽しく読みました。
そういえば数週間前のジャピオンかな?ゲテモノが載っていて、とある雲南料理のお店で「でかい幼虫」とかが食べられるとか。
食べなくてもいいけれど、食べられるなら食べられるうちに食べておきたいですね。
…。
ゲテモノオフ会、やる?
↓ゲテモノに興味がある方は!
トラコミュ ゲテモノ
↓中国の最新情報も

↓にほんブログ村

ブログトーナメント結果!
やめた理由トーナメント
日本語教師を辞めた理由を書いた記事で優勝
おいしいアイスブログトーナメント
東北大板の記事で優勝!
アンティークな雑貨達トーナメント
上海のガラクタ倉庫で発掘したグラスの記事で優勝!
アンティークお好きですか?ブログトーナメント
景徳鎮で買ったお皿の記事で優勝!
都市伝説 2ブログトーナメント
パスポートに押されてしまう例のスタンプの記事で優勝!
面白い商売トーナメント
上海・古北カルフール近辺で見るあの店の記事で優勝!
トホホトーナメント
さすがポンコツ!トホホな記事はおまかせ!
ブログのアクセス増えたよブログトーナメント
ブロガー必見!
このまま下にスクロールしてください。
★ポンコツ最新情報★
時々記事を書かせていただいている「ロケットニュース24」が本になりました!
ポンコツの記事も掲載されています!
ぜひご覧ください!
ロケットニュース ポンコツ担当記事
ぎやぁぁぁぁぁぁぁぁ!!!!!
そういえば去年の夏、気温が50度近くになったせいもあり、普段以上にまともな思考回路を持っていなかったポンコツ先生は「セミを食べたい」と言い出し、実際にボリボリ食べました。
参考:
あの時、奥様に「変なものを食べるのはよしなさい!」と怒られたのですが、こういう危険性もあるわけですね。。。
まぁ熱処理していれば大丈夫かなと思うんですが(←無人島で真っ先に死ぬタイプ)
「ブタの生き血」が大好物の男性、脳内から寄生虫19匹発見―中国紙
引用
中国紙・貴陽晩報によると、めまいと視力低下に悩む青年の大脳には、なんと19匹の寄生虫がいた。彼の大好物のブタの生き血が原因だという。
大好物がブタの生き血。
変わったご趣味をお持ちですね、なんて考えていたら、
貴州省のある地方では、ブタの生き血を「甜湯血」と呼び、現地の人々はこれを好んで食すという。この青年も、「ブタの生き血が好物だ」と話している。
その地方特有の文化なんですね。
秘密のケンミンSHOWで取り上げるような。
たまたまなんですが、この記事が出たときに読んでいた本が、
↑怪しいアジアの暗黒食生活って本でして。
虫とかならまだしも、鹿のタタキとかあんなものやこんなものが書かれているのを「すげーなー」って楽しく読みました。
そういえば数週間前のジャピオンかな?ゲテモノが載っていて、とある雲南料理のお店で「でかい幼虫」とかが食べられるとか。
食べなくてもいいけれど、食べられるなら食べられるうちに食べておきたいですね。
…。
ゲテモノオフ会、やる?
↓ゲテモノに興味がある方は!
トラコミュ ゲテモノ
↓中国の最新情報も
↓にほんブログ村
この記事にコメントする
- HOME -
ブログランキング
ポンコツ管理トラコミュ
トラコミュ
中国産食品の安全性
トラコミュ
上海ファミマ(全家)のキャンペーン
火鍋大好き!
トラコミュ チャイナショック
トラコミュ
チャイナボカンシリーズ
トラコミュ 中国粉ミルク汚染
トラコミュ 中国嫁日記
トラコミュ 東北大板(アイス)
トラコミュ LINE乗っ取り詐欺
最新記事
(08/27)
(08/27)
(08/26)
(08/26)
(08/25)
(08/24)
(08/24)
(08/24)
(08/23)
(08/23)
(08/23)
(08/23)
(08/23)
(08/23)
(08/22)
(08/22)
(08/22)
(08/21)
(08/21)
(08/21)
人気記事
累計
リンク(中国・上海)
リンク(日本語・他)
日本語教師の日本語大好き生活
日本文化の特徴について知る!
日本語教師になる
にゃんこ先生の上海つれづれ記
まめじゃない日本語教師がまじめに日本語を考える
桜にほんご徐家匯校ブログ
3S
天天向上
RKB毎日放送 中西一清スタミナラジオ
クマガイタツロウのビバビバ日記
コミュニケーションスキル改善プログラム
人材紹介・職業紹介 ワーフ・マネージメント
ビーンズの電話受付代行サービス
上海の中国語学校を徹底比較しました
お仕事情報にサクっと問合せ可能。JOBSPOCKET
日本文化の特徴について知る!
日本語教師になる
にゃんこ先生の上海つれづれ記
まめじゃない日本語教師がまじめに日本語を考える
桜にほんご徐家匯校ブログ
3S
天天向上
RKB毎日放送 中西一清スタミナラジオ
クマガイタツロウのビバビバ日記
コミュニケーションスキル改善プログラム
人材紹介・職業紹介 ワーフ・マネージメント
ビーンズの電話受付代行サービス
上海の中国語学校を徹底比較しました
お仕事情報にサクっと問合せ可能。JOBSPOCKET
関連トラコミュ(テーマ)
↓オススメ!↓

海外で見つけたヘンな日本語・日本のもの

トラコミュ 中国ニュース

中国大気汚染

中国に対する怒り

上海カフェ倶楽部

上海ローカルフード部

上海コンビニ情報

上海太太のトラコミュ
海外で見つけたヘンな日本語・日本のもの
トラコミュ 中国ニュース
中国大気汚染
中国に対する怒り
上海カフェ倶楽部
上海ローカルフード部
上海コンビニ情報
上海太太のトラコミュ
↓その他トラコミュ↓
最新コメント
[12/13 NONAME]
[09/16 ポコツン]
[09/01 toeureka]
[09/01 ぱいなっぷる]
[08/31 みずたに]
[08/30 あQ]
[08/29 サボリーマン]
[08/29 つる]
[08/28 在上海駐在員]
[08/28 かか]
PR
カテゴリー
アーカイブ
カウンター







